免费看一级I一区二区视频在线看I免费a级观看I中文高清avI操操碰I色福利网

?

Industrial Crops & Products羊肚菌多糖納米硒的體內外降糖功效首次被揭示

發布時間:2026-01-23

武漢輕工大學富硒藥用資源團隊-張紹鵬課題組和武漢市農業科學院食用菌研究團隊-馬曉龍課題組利用羊肚菌多糖修飾納米硒,制備具有良好穩定性和生物活性的MSP4-SeNPs復合物。通過構建體外-肝細胞胰島素抵抗細胞模型和體內-Ⅱ型糖尿病小鼠模型,首次揭示該羊肚菌多糖納米硒的降糖效果及生物安全性,并深入探討其對Ⅱ型糖尿病的潛在治療作用。相關研究發表于國際期刊Industrial Crops & Products(一區TOP,IF:6.2)。

                                              圖片關鍵詞

II型糖尿病(T2DM)作為糖尿病的主要表現形式,已成為全球性流行病。目前可用的II型糖尿病藥物治療,例如二甲雙胍和磺脲類藥物,受到其副作用和最終耐藥性的限制。因此,開發副作用最小的新型抗II型糖尿病藥物已成為當務之急。

多糖是一類重要的生物活性化合物,具有多種藥理作用。近年來,從食用菌中提取的多種多糖顯示出潛在的抗糖尿病效果。納米硒顆粒近年來因其獨特的抗氧化性質以及在藥學等領域的潛在應用而受到廣泛關注。“多糖-納米硒”則結合了多糖的生物相容性和功能多樣性以及納米硒的抗氧化和治療特性,使其成為藥物遞送、疾病治療及其他生物醫學應用中的新方式。

本研究采用抗壞血酸還原亞硒酸鈉的方法,以羊肚菌多糖(MSP-4)為穩定劑制備MSP4-SeNPs納米復合物。通過系統的單因素實驗和響應面法優化,確定了最佳制備工藝參數。利用動態光散射(DLS)和傅里葉變換紅外光譜(FT-IR)等多種表征手段對納米顆粒的粒徑分布、形貌特征、晶體結構和表面化學性質進行了系統分析,證實了MSP-4成功修飾于納米硒表面,形成了穩定的納米復合物體系。

圖片關鍵詞

采用胰島素處理成功構建了胰島素抵抗HepG2(IR-HepG2)細胞模型。CCK-8實驗結果表明,MSP4-SeNPs在0-100 μg/mL濃度范圍內對IR-HepG2細胞無明顯毒性作用。進一步的細胞實驗發現,低濃度MSP4-SeNPs能顯著提升IR-HepG2細胞的己糖激酶(HK)和丙酮酸激酶(PK)活性,增加糖原含量,有效改善糖代謝紊亂。同時,MSP4-SeNPs處理可顯著增強超氧化物歧化酶(SOD)和谷胱甘肽過氧化物酶(GSH-Px)活性,降低丙二醛(MDA)和甘油三酯(TG)含量,表明其具有良好的抗氧化應激作用。

圖片關鍵詞

通過小鼠急性毒性實驗評估,觀察到給藥組小鼠活動自如,未出現異常行為。被毛保持光澤順滑;全程未觀察到震顫、抽搐等中毒體征。在本研究設定的給藥條件下,MSP4-SeNPs未引起實驗動物急性毒性反應,受試小鼠維持良好的生理狀態,未出現任何可見的中毒臨床癥狀。MSP4-SeNPs處理后的小鼠體重、攝食量與血清生化學指標均無顯著改變。經解剖觀察,小鼠主要臟器及心、肝、腎組織病理學檢查結果均未見明顯異常。 MSP4-SeNPs在0~4 mg/kg 劑量范圍內對小鼠無明顯毒性,并且無小鼠死亡。且小鼠肝臟和腎臟內糖原、HK和PK含量也無較大變化。實驗結果表明,低劑量羊肚菌多糖納米硒(MSP4-SeNPs)具有良好的生物安全性。

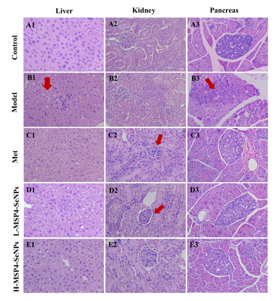
進一步采用高糖高脂飲食聯合鏈脲佐菌素注射成功構建了Ⅱ型糖尿病小鼠模型。通過設置低劑量和高劑量MSP4-SeNPs干預組,系統評價了其體內降血糖活性。經過28天的干預治療后,MSP4-SeNPs能顯著降低糖尿病小鼠的空腹血糖水平,改善葡萄糖耐量,增加肝糖原儲備。同時,MSP4-SeNPs干預顯著改善了胰島素抵抗狀態,并有效緩解了疾病相關的體重下降。在作用機制研究方面,MSP4-SeNPs可顯著調節血清生化指標,包括降低血糖、改善血脂和調節肝功能相關酶活性。組織病理學分析顯示,高劑量MSP4-SeNPs能顯著改善糖尿病引起的肝臟、腎臟和胰腺的組織損傷。研究結果表明,MSP4-SeNPs通過調控糖代謝關鍵酶活性和減輕氧化應激,在Ⅱ型糖尿病治療中展現出良好的應用前景。

圖片關鍵詞

本研究成功制備了穩定、具有生物活性的MSP4-SeNPs納米復合物,系統評價了其在細胞和動物模型中的降血糖效果,并初步闡明其通過調控糖代謝關鍵酶與減輕氧化應激發揮作用的機制。結果表明,該復合物在Ⅱ型糖尿病治療中具有良好應用前景。上述發現不僅為MSP4-SeNPs的臨床應用提供了實驗依據,也凸顯了食用菌多糖作為天然生物活性分子在納米藥物研發中的獨特價值,為食用菌資源的高值化利用與代謝性疾病治療提供了新思路。

原文鏈接:

https://doi.org/10.1016/j.indcrop.2025.122620

來源:易菇網


Awesome Image
0513-85960100
0513-85327666
江蘇省南通經濟技術
開發區中央路 68—A號
alphay@alphay.com
chenhui@alphay.com
FOLLOW US:
江蘇安惠生物科技有限公司
">

版權所有 2021 江蘇安惠生物科技有限公司  蘇ICP備10215476號

本網站所有產品的創意策劃及內容的審核發布均由江蘇星天下文化產業發展有限公司全權負責。

本網站產品圖片或內容僅供參考,請以產品實物為準。

網站首頁
產品介紹
綜合新聞
靈芝文化館